
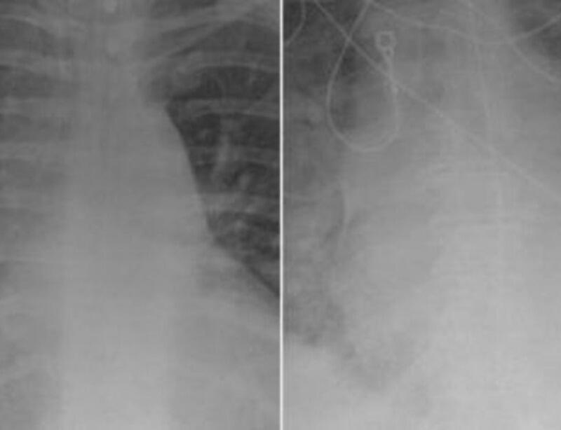
Uma foto, que está circulando nas redes sociais, mostra a comparação de dois raios-X de pacientes infectados pela Covid-19. Em uma das chapas, aparece um pulmão de uma pessoa vacinada, enquanto na outra imagem é possível ver um pulmão sem vacina.
Na imagem do indivíduo vacinado, é possível observar um pulmão mais “limpo”. Já a foto do paciente não imunizado, a foto do órgão está turva.
O médico Ghassan Kamel, diretor da UTI Médica do Hospital SSM Health SLU, localizado em St. Louis, em Missouri, nos Estados Unidos, afirmou que a coloração mais densa do pulmão indica infecção por bactéria, muco ou secreções. De acordo com ele, para se tratar um paciente não vacinado, ele possivelmente precisaria de internação. “Definitivamente, pelo menos, exigiriam oxigênio e às vezes exigiriam mais do que apenas oxigênio, como ventilador ou serem intubados com ventilação mecânica, sedados e basicamente com suporte de vida”, disse, em entrevista à revista People.
Segundo Kamel, pacientes vacinados e que testam positivo para o coronavírus geralmente não requerem os cuidados intensivos ou mesmo dar entrada na UTI, a não ser que tenham alguma doença pré-existente ou que sejam imunocomprometidos.
No fim da entrevista, Ghassan ainda admitiu que espera que a imagem possa conscientizar as pessoas da importância da vacinação à medida que a variante Delta continua a se espalhar pelo país. “Se você não gosta da máscara, definitivamente não vai gostar do ventilador”, concluiu.